КРИОАНАЛЬГЕЗИЯ.
НОВЫЙ ИНСТРУМЕНТ В ЛЕЧЕНИИ ПАЦИЕНТОВ С ХРОНИЧЕСКОЙ БОЛЬЮ.
История

• Гиппократ (460-470 до н.э) — местное обезболивающее действие снега у пациентов с ранами
• Авиценна (980-1070) — использовал Холод для обезболивания перед операцией
• Жан Ларрей (1766-1842) – действие холода при ампутации конечностей
• Появление первых приборов для охлаждения тканей с использованием жидкого азота (Cooper, 1961), оксида азота и углекислого газа (Amoils, 1967)
• Lloyd (1976) — использование криоанальгезии для лечения хронической боли
Генов Павел Геннадьевич, д.м.н., EDPM
Принцип действия метода
Механизм обезболивания

•Низкая температура вблизи нерва вызывает образование микрокристаллов льда, что ведет к повреждению vasa nervorum, эндоневральному отеку, аксонотмезису и последующей валлеровой дегенерации.
•Регенерация нерва возможна из интактных эндоневрия и шванновских клеток, что позволяет избежать возможного образования невромы.
Методика: этапы процедуры

• Автоматическая процедура очистки (продувки) криосистемы
• Местная анестезия
• Введение криозонда, опционально после установки канюли
• Точная локализация зонда рядом с нервом при помощи УЗ или рентгенологического контроля
• Моторный (2Hz) и сенсорный (100Hz) тест
• 1-3 циклов (по 2-3 мин) заморозки до -40 -65 °С.
• Размораживание (30 сек) для безопасного извлечения зонда
Криозонды и размер ледяного шара

• 2.1 мм (126) - 5,5 мм шар
• 1.3 мм (156) - 3,5 мм шар
Размер термического повреждения при стандартной РЧА
Преимущества перед СРЧА

• Анальгезия в течение нескольких месяцев или дольше без полного разрушения нерва
• Отсутствие неврита и снижение риска невропатической боли
• Не образуются невромы, так как нерв восстанавливается из интактного эндоневрия
• Шаровидная форма повреждения позволяет располага перпендикулярно
• Криоанальгезия менее болезненна для пациента, чем СРЧА. Боль возникает только в первые 20-30 сек процедуры.
Недостатки по сравнению со СРЧА

• Больший размер (126-15G) криозондов по сравнению с канюлями для РЧА (16-226) при меньшей зоне повреждения
• Отсутствие в зонде канала для введения препаратов, необходимость предварительной местной анестезии вдоль предполагаемой траектории проведения зонда (при проведении зонда без канюли)
• Необходимость фиксировать зонд рукой во время процедуры
• Одновременно нельзя использовать несколько криозондов — возрастает время процедуры
Отбор пациентов

• Фасеточный синдром, артроз и дисфункция КПС
• Боль в плечевом, коленном суставе.
• Периферические невралгии (межреберные, затылочный, ветви тройничного и пр.)
Успешный диагностический блок!
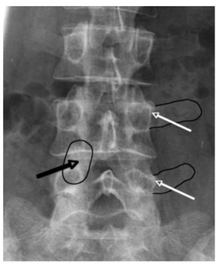
Лечение боли при фасеточном синдроме на поясничном отделе позвоночника

• N=50. Успех 62% через 1 год, лучше результаты у
неоперированных. C.B. Bärlocher, J.K. Krauss, R.W. Seiler. Kryorhizotomy: an alternative technique for lumbar medial branch rhizotomy in lumbar facet syndrome. J Neurosurg (Spine 1) 98:14–20, 2003.
• N=46. Успех 72% через 6 нед и 57% через 1 год. C Birkenmaier, A Veihelmann, H Trouillier et al. Percutaneous cryodenervation of lumbar facet joints: a prospective clinical trial. Int Orthop. 2007 Aug;31(4):525-30.
• N=76. Успех 56% через 1 год. M. Staender, U.Maerz, J.C. Tonn, U. Steude. Computerized tomography-guided kryorhizotomy in 76 patients with lumbar facet joint syndrome. J Neurosurg Spine 3:444 449, 2005.
Методика Bogduk, Dreyfuss

Альтернативная методика (Ambrock и др.)

Какая методика установки криозонда к фасеточным суставам лучше?

• Интенсивность боли после криоанальгезии была меньше, если предварительно проводили блокаду медиальных ветвей по сравнению с перикапсулярной блокадой через 6 недель и 3 месяца (ВАШ 2.2 v4.2, Р .05).
• C. Birkenmaier, A. Veihelmann, H. Trouillier et al. Medial Branch Blocks Versus Pericapsular Blocks in Selecting Patients for Percutaneous Cryodenervation of Lumbar Facet Joints. Regional Anesthesia and Pain Medicine, Vol 32, No 1 (January-February), 2007: pp 27-33
Периферические невралгии

Криоанальгезия затылочного нерва

• N=26. Эффективна у 50% через 30 дней, у 35% через 56 дней. Продолжительность анальгезии до 112 дней у некоторых пациентов. E. Grigsby, R. Radnovich, S. Nalamachu. Efficacy and Safety of Cryoneurolysis for Treatment of Chronic Head Pain Secondary to Occipital Neuralgia: A Pilot Study. Local Reg Anesth. 2021 Sep 17;14:125-132.
• N=7. Через 1 и 3 месяца у более 50% сохранялась анальгезия. A. Kastler, A. Attyé, C. Maindet et al. Greater occipital nerve cryoneurolysis in the management of intractable occipital neuralgia. J Neuroradiol. 2018 Oct;45(6):386-390.
• N=52.Эффект от криоанальгезии не отличается от эффекта блокады. G. Kvarstein, H. Högström, S.M. Allen, J.H. Rosland. Cryoneurolysis for cervicogenic headache - a double blinded randomized controlled study. Scand J Pain. 2019 Dec 18;20(1):39-50.

Криоанальгезия межреберных нервов

• N=18. Интенсивность боли: 7.5 баллов исходная, 1,2 после процедуры и 4.1 балла через 51 день. W. Moore, D. Kolnick, J. Tan, H.S. Yu. CT guided percutaneous cryoneurolysis for post thoracotomy pain syndrome: early experience and effectiveness. Acad Radiol. 2010 May;17(5):603-6.
• N=43 (ретроспективное). 60% значимое снижение боли после процедуры, 50% значимое снижение боли через 3 мес. Не было невром, невритов и только 3 случая пневмоторакса.
C.R Green, A.M. de Rosayro, A.R. Tait. The role of cryoanalgesia for chronic thoracic pain: results of a long-term follow up. J Natl Med Assoc. 2002 Aug;94(8):716-20.

Криоанальгезия при артрозах крупных
суставов

• N=180. Пациенты, получившие криоанальгезию имели лучшие результаты по болевой субшкале WOMAC на 30 (p=0.0004), 60 (p=0.0176) и 90 день (p=0.0061)
• Radnovich R, Scott D, Patel AT et al. Cryoneurolysis to Treat the Pain and Symptoms of Knee Osteoarthritis: A Multicenter, Randomized, Double-Blind, Sham Controlled Trial. Osteoarthritis and Cartilage (2017)
Криоанальгезия коленного сустава:
infrapatellar branch of the saphenous nerve

Криоанальгезия коленного сустава:
infrapatellar branch of the saphenous nerve (IBSN) and anterior femoral cutaneous nerve (AFCN)

Лечение онкологической боли

• N=5. Интенсивность боли у пациентов с раком ПЖ снизилась с 9.4 ВАШ до 2.6, 2.6 и 3 через 1, 3 и 6 мес.
• D. Filippiadis, N. Ptohis, E. Efthymiou, A. Kelekis. A Technical Report on the Performance of Percutaneous Cryoneurolysis of Splanchnic Nerves for the Treatment of Refractory Abdominal Pain in Patients with Pancreatic Cancer: Initial Experience. Cardiovasc Intervent Radiol (2021) 44:789-794.


Криоанальгезия при онкологической боли

• D. Filippiadis, E. Efthymioua, A. Tsochatzisa et al. Percutaneous cryoanalgesia for pain palliation: Current status and future trends. Diagnostic and Interventional Imaging 102 (2021) 273-278


Осложнения

• Депигментация или гиперпигментация зоны криоанальгезии
• Онемение в зоне воздействия
• Алопеция в зоне воздействия
• Образование невромы (очень редко!)

Все самое интересное впереди!

• Актуально ли появление новых методов интервенционного лечения боли?
Будет ли востребована криоанальгезия в клиниках лечения боли?
• Какова эффективность по сравнению с СРЧА, терапевтическими блоками?
• Какое место в нашем арсенале займет метод?